Blast a biofilm was an activity developed by Nina Vyas during the Dancing Bubbles exhibition. She based her activity on the one published by Victoria Marlow and colleagues at University of Dundee. The original open access paper and instructions can be found here.
In this version of Blast a Biofilm the use of ultrasonic scalers to clean teeth is explored.
Ultrasonic scalers are a specialised tool used by dentists to help clean the surface of the teeth. They are particulalry good to use with people with sensitive teeth and gums as they don’t touch the surface of the tooth but use tiny bubbles to blast any plaque bacteria or biofilm off the surface. The bubbles grow and collapse very fast and when they collapse they release micro-jets which hit the surface and create large forces, breaking up the dental plaque. There is some more infomration about them on this wikipedia page about cleaning teeth for gum disease
Did you know that in the mouth we are continuously growing bacteria?
These bacteria grow on the teeth and are the reason we should clean our teeth for 2min twice a day. If its not cleaned off it might lead to problems in the mouth like tooth decay (dental caries) or to gum disease (gingivitis or periodontitis).
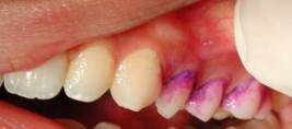
This is what plaque looks like on teeth when a disclosing solution is used to turn them pink/blue, which makes it easier to see…this is quite a lot and the picture is taken from a volunteer who didn’t clean their teeth for three whole weeks!

You will need:
soft modelling clay basic set (STAEDTLER FIMO works well)
standard hair gel (we went to the pound shop)
A large tray (approximately 35 cm wide, 75 cm long and 10 cm deep, we used a Really Useful box)
water sprays
toy water pistols
a sieve and bucket (for washing model microbes)
Instructions:
1. First you need to make ‘microbes’ from the modeling clay . These represent the bacteria that live on the teeth in our dental plaque. Take small anounts of the clay and make into spheres, rod shapes and spirals to represent the cocci, rod shaped and spiral shaped bacteria. Examples of these in the mouth are called Streptococci, Lactobacilli or Treponema species. Streptococcus mutans is a key species involved in dental caries or tooth decay. Lactobacillus acidophilus is an example of Lactobacillus found in the mouth. Treponema denticola is associated with gum disease (or periodontitis). Follow the maker’s (manufacturer’s) instructions to cure it.
It can be fun to do this with a class but they can also be prepared ahead of time.
Here are some we made as an example

2. Print out the images from the binder and laminate them to make them water proof. If you don’t have a laminater available you could put them under a piece of plastic, for example a thin folder or acetate sheet.
3. Set up your box:
Put the waterproofed tooth in the large tray. Sprinkle some of your microbes on the top of the tooth. Add some hair gel on top of the microbes. This represents the extracellular matrix that the microbes make to help their biofilm stick together.

Use the water sprays to try and remove the bacteria. Does that work?
The force from the sprays is not enough to remove the biofilm easily. This represents the normal movement of liquid round the mouth. This is also what happens when antibiotics are used to try to kill a biofilm – they are not very effective because the bacteria are protected by the gooey matrix.
Now try the toy water pistol. Does that work?
The extra force from the water pistol should remove the biofilm more easily. This represents using a ultrasonic scaler or cleaning device to blast away the plaque biofilm.
This video shows Blast a Biofilm in action
Here is a video of Nina at work doing her research on the bubbles that form on ultrasonic scalers. Nina is a scientist and has an undergraduate degree in Physics and a PhD in Dentistry
4. Clean up
When you have had fun with your biofilm its time to set it up again for the next person or to clean up. Scope up the microbes and hair gel into the seive and wash with water into the bucket. The microbes are reusable so make sure to dry them off for the next time.